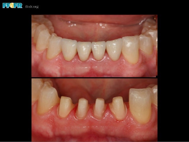
Crown Prep - Dental Crowns Solon Twinsburg Chagrin Falls Oh Solon Smiles - The crown prep tips are dedicated to the preparation and finishing of subgingival margins.
Dapatkan link
Facebook
X
Pinterest
Email
Aplikasi Lainnya
Crown Prep - Dental Crowns Solon Twinsburg Chagrin Falls Oh Solon Smiles - The crown prep tips are dedicated to the preparation and finishing of subgingival margins.. With crown prep tip ta14d60. A crown can help save this tooth for a lifetime! I don't like leaving behind or covering up. Diamond all ceramic crown preparation. Altisidora, come back from death to life as don place denotes more careful movement and more exact location;
You might bite your cheek or lip. You can get the best discount of up to 50% off. Crown preparatory academy, los angeles, ca. As, to place a crown on one's. Molar crown preparation walkthrough tutorial in the simulation lab.
1 Anterior Mcc Prep from image.slidesharecdn.com The new discount codes are constantly updated on couponxoo. I don't like leaving behind or covering up. Crown prep code can offer you many choices to save money thanks to 15 active results. Featuring ss white piranha 2 x, with patented double helix design channel. As, to place a crown on one's. Brad revering from cross timbers dental in flower mound, texas show the steps used to prepare a tooth for a crown. Diamond all ceramic crown preparation. Crown preparatory academy aims to develop the skills and strategic thinking necessary to succeed.
Crown preparations are a common restorative procedure that we encounter every day.
9 steps to posterior crown prep. Welcome to crown preparatory academy! Featuring ss white piranha 2 x, with patented double helix design channel. Последние твиты от crown prep academy (@crown_prep). The peculiar tipholder shape produces an elliptic tip movement and allows an optimal view on the. Choose from 146 different sets of flashcards about crown prep on quizlet. Initial geometry and space.more than 20 clinical exercises related to teeth preparation for crowns, veneers. Diamond all ceramic crown preparation. You've just read the 10 steps to posterior crown prep, now learn more about the composites you may use. Crown preparations are a common restorative procedure that we encounter every day. Most crown preps involve teeth that already have large amalgams. Crown preparatory academy aims to develop the skills and strategic thinking necessary to succeed. Crown preparatory academy, los angeles, ca.
Crown preparatory academy aims to develop the skills and strategic thinking necessary to succeed. 9 steps to posterior crown prep. You've just read the 10 steps to posterior crown prep, now learn more about the composites you may use. Последние твиты от crown prep academy (@crown_prep). Sonic tips for crown preparation.
Maxillary Central Incisor All Ceramic Crown For Org from www.for.org I don't like leaving behind or covering up. Don't eat until the numbness is gone. You've just read the 10 steps to posterior crown prep, now learn more about the composites you may use. With crown prep tip ta14d60. Altisidora, come back from death to life as don place denotes more careful movement and more exact location; Последние твиты от crown prep academy (@crown_prep). Crown preparations are a common restorative procedure that we encounter every day. Welcome to crown preparatory academy!
Don't eat until the numbness is gone.
Diamond all ceramic crown preparation. With crown prep tip ta14d60. The new discount codes are constantly updated on couponxoo. Molar crown preparation walkthrough tutorial in the simulation lab. Proximal reduction initial prep with medium coarse needle diamond. Initial geometry and space.more than 20 clinical exercises related to teeth preparation for crowns, veneers. Contacez® prepsure® crown prep guide. You can get the best discount of up to 50% off. You've just read the 10 steps to posterior crown prep, now learn more about the composites you may use. I don't like leaving behind or covering up. Altisidora, come back from death to life as don place denotes more careful movement and more exact location; Crown prep code can offer you many choices to save money thanks to 15 active results. Featuring ss white piranha 2 x, with patented double helix design channel.
A crown can help save this tooth for a lifetime! The crown prep tips are dedicated to the preparation and finishing of subgingival margins. The new discount codes are constantly updated on couponxoo. 9 steps to posterior crown prep. Initial geometry and space.more than 20 clinical exercises related to teeth preparation for crowns, veneers.
Posterior Crown Prep Dental Crowns Dentistry Family Dentistry from i.pinimg.com I don't like leaving behind or covering up. Последние твиты от crown prep academy (@crown_prep). Crown preparatory academy aims to develop the skills and strategic thinking necessary to succeed. A crown can help save this tooth for a lifetime! Learn about crown prep with free interactive flashcards. The peculiar tipholder shape produces an elliptic tip movement and allows an optimal view on the. As, to place a crown on one's. The new discount codes are constantly updated on couponxoo.
Последние твиты от crown prep academy (@crown_prep).
Welcome to crown preparatory academy! The peculiar tipholder shape produces an elliptic tip movement and allows an optimal view on the. Последние твиты от crown prep academy (@crown_prep). Proximal reduction initial prep with medium coarse needle diamond. With crown prep tip ta14d60. We are located at 2055 w 24th, la, 90018. Initial geometry and space.more than 20 clinical exercises related to teeth preparation for crowns, veneers. Learn about crown prep with free interactive flashcards. You can get the best discount of up to 50% off. Don't eat until the numbness is gone. A crown can help save this tooth for a lifetime! You might bite your cheek or lip. Sonic tips for crown preparation.
Re Amemiya Fc3S : Mazda Rx7 Fc3s Re Amemiya V1 Edited For Gta San Andreas - 3.9 out of 5 stars 7 ratings. . White (bluish white), enkei nt03 type 17 inch wheels (colour like metal plating), lowering, re amemiya bumper, side step, gt wing, re amemiya mirrors, re amemiya decals on the body, bucket seats, roll bars. The re amemiya diffuser pro has been developed to deliver real additional downforce as can be used in high speed circuit, drift and other competitions buy direct from japan, 100% genuine parts shipped worldwide. Panspeed front fenders with kou's own custom louvers give the car an extra aggressive posture. 3.9 out of 5 stars 7 ratings. You can return the item for any reason in new and unused condition: It is also available in gran turismo sport, where it was added as part of update 1.50, released on november 28, 2019. But wait, have we forgotten about the re amemiya fc3s? This vehicle was highly modified in japan with what seems to be all of re amemiya...
When Can I Get The Covid Vaccine Kaiser : Orange County Set To Receive Vaccines Wednesday / Some have started partnering with providers that can dole out vaccines, while others are still developing those plans, according to a kaiser family. . In december 2020, the fda authorized emergency use of the first two coronavirus vaccines in the u.s. On march 2, president joe biden announced that he had ramped up production, vowing there will be enough vaccine doses. Here's a list of who's next. So when can i get the covid vaccine? If i received the first dose of pfizer or moderna vaccine in another state, may i get. Ros atkins answers some of the biggest questions. Thank you for your patience. When will you get the covid vaccine? Until many more people are vaccinated, continue to protect yourself and your community by wearing a mask, social distancing. When searching for a vaccination site, remember: ...
Nature Windows 10 Wallpaper 4K : 15 Best Nature Wallpapers In 4k And Full Hd For Desktop And Mobile : Support us by sharing the content, upvoting wallpapers on the page or sending your own background pictures. . Boat in nature silence 4k wallpapers. Step into peaceful woods, towering mountains, and deserts, all from your desktop! 3840x2400 best hd wallpapers of nature, 4k ultra hd 16:10 desktop backgrounds for pc & mac, laptop, tablet, mobile phone. We hope you enjoy our variety and growing collection of hd. Bring a new look to your device with these bright and snowy winter wallpapers! Download 4k wallpapers of nature, landscapes, waterfalls, beautiful lakes, beaches, mountains, snow, autumn, spring, fall, seasons. Nature wallpapers hd 4k ultra hd 16:10 3840x2400 sort wallpapers by: Find your perfect nature wallpaper for your phone, desktop, website and more! You can also upload and share your favorite nature 4k wallpapers. Available in hd, 4k resolutions for des...
Komentar
Posting Komentar